İHA
Oluşturulma Tarihi: Nisan 16, 2026 09:31
Kocaeli'de Kurban Bayramı'nda yaşadığı bıçak kesiğinin ardından başvurduğu iki özel hastanedeki yanlış tedavi iddiaları sebebiyle parmağı ampute edilen ve çalışma kabiliyetini kaybederek işinden olan Nurettin Güleryüz, "tıbbi ihmal" iddiasıyla tedaviyi yürüten doktorlar hakkında suç duyurusunda bulundu.
Edinilen bilgiye göre, 7 Haziran 2025'te Kurban Bayramı dolayısıyla bıçak temizlerken sağ el başparmağını kesen Nurettin Güleryüz (34), bir özel hastanenin acil servisine başvurdu. İddiaya göre, hastanede detaylı tetkik yapılmadan pansuman uygulanan Güleryüz'e ilaç reçete edilerek taburcu edildi. Şikayetlerinin devam etmesi ve kanamanın durmaması üzerine ertesi gün aynı hastaneye tekrar giden Güleryüz'e bu kez dikiş atıldı.

Parmağını hareket ettirememesi üzerine 19 Haziran'da Gebze'deki başka bir özel hastaneye başvuran Güleryüz, tendon yaralanması şüphesiyle tedaviye alındı. Farklı tarihlerde yapılan EMG ve MR tetkiklerinde sinir hasarı ile tendon kopması tespit edilen hasta, 2 Eylül'de ameliyat edildi. Süreç içerisinde parmağın çürüdüğü ve kurtarılamayacağının belirtilmesi üzerine Güleryüz, başvurduğu başka bir hastanede ampute operasyonu geçirdi.

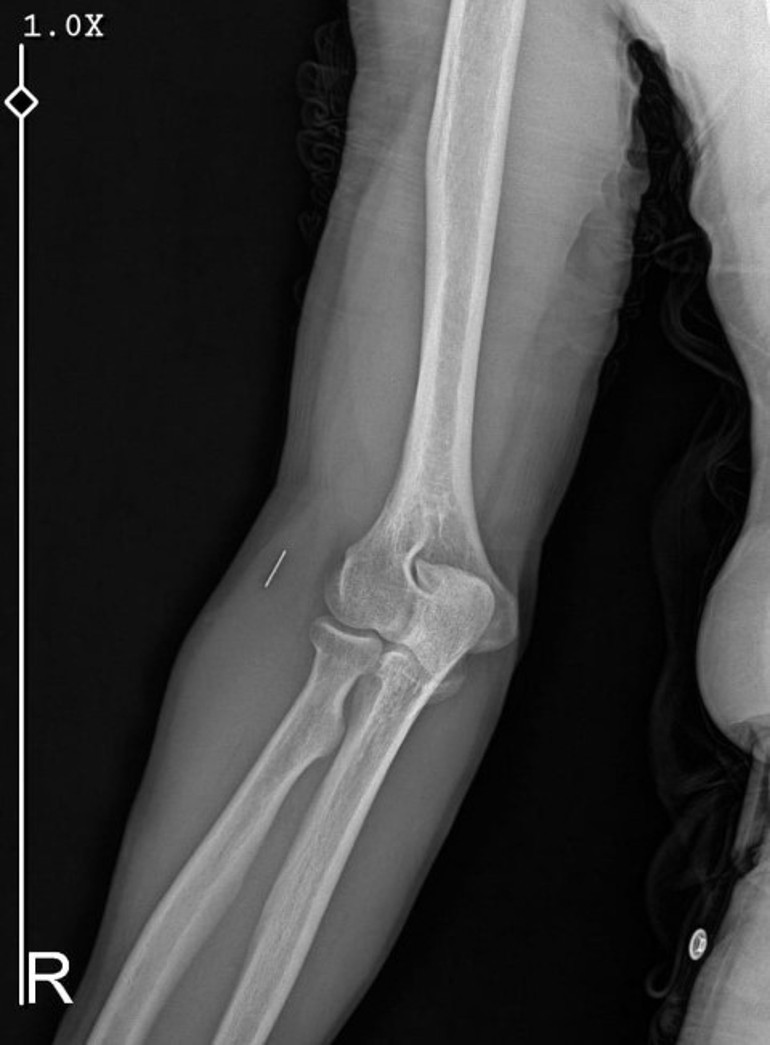
Öte yandan, ameliyatların ardından ağrıları devam eden Güleryüz'ün kolunda metal parça bulunduğu ve bu parçanın parmak bölgesinden dirseğe doğru ilerlediği öne sürüldü. Ayrıca, fabrikada temizlik personeli olarak çalışan Nurettin Güleryüz'ün hastane sürecinde işten çıkarıldığı da öğrenildi.

"YÜZDE 46 OLAN ENGELLİLİK ORANI YÜZDE 75'E YÜKSELDİ"
Güleryüz'ün avukatı Barış Kurt, Gebze Cumhuriyet Başsavcılığına sunduğu şikayet dilekçesinde, özel hastanede görevli hekimlerin tıp kurallarına aykırı hareket ederek ihmalde bulunduklarını ileri sürdü. Olayın basit tıbbi komplikasyon olmadığını savunan Kurt, "Başparmakta oluşan kesilerde tendon ve sinir hasarı ihtimali basit muayene ile dahi anlaşılabilecek durumdur. Buna rağmen şüpheli hekimler gerekli özeni göstermemiştir. Doğru teşhis zamanında konulmuş olsaydı, gerekli cerrahi müdahale gecikmeden yapılacak ve müvekkil kalıcı sakatlık yaşamayacaktı. Müvekkilin yaralanma öncesinde yüzde 46 olan engellilik oranı, yaşanan süreç sonrası yüzde 75'e yükselmiştir. Bu durum müvekkilin yaşamını ve çalışma gücünü ciddi şekilde etkiledi. Sorumlular hakkında taksirle yaralama, görevi kötüye kullanma ve ihmali davranışla yaralama suçlarından soruşturma yürütülmesini talep ediyoruz" dedi.

"PARMAĞI PANSUMANIN ARDINDAN YAPIŞTIRIP GÖNDERDİLER" İDDİASI
Yaşadıklarını anlatan Nurettin Güleryüz ise "Kurban Bayramı'nın ikinci günü bıçağı temizlerken yanlışlıkla parmağımı kestim. Özel hastaneye gittim ve doktorla görüştüm. Doktor bize parmağın yapıştırılması gerektiğini söyledi. Parmağı pansumanın ardından yapıştırıp gönderdiler ve ilaç yazdılar. İlaç yazdıkları halde herhangi bir film, röntgen çekilmedi. Parmağımın kanaması devam edince ikinci akşam yine hastaneye gittik. Parmağıma dikiş attılar ve yine röntgen, film çekmeden herhangi işlem yapmadan gönderdiler. Bu süreçte pansumanlarımızı yaptırdık. Bundan sonra bize 10 gün süresince pansuman yapmamız gerektiğini söylediler. Bayram tatili olduğu için hiçbir yere gidemedik" diye konuştu.

"ÇÜRÜMÜŞ PARMAĞI İÇERİYE NASIL KATLAYABİLİRSİNİZ"
Güleryüz, bayramın ardından başka bir özel hastaneye başvurduğunu anlatarak, "Buradaki hastanede acil ameliyata alınmam gerektiği söylendi. Burada da MR veya herhangi tetkik yapılmadan ameliyata alındım. Ondan sonra 2 kez daha ameliyat geçirdim. Bu süreçte doktorlar parmağımın kurtarılamayacağını söyledi. Parmağımın tendon damarı ve sinir damarı tutmadı. Parmağım çürümeye başladı. Bize yaptıkları teklif şu oldu; 'Parmağı bükeriz, katlayıp geriye bırakırız' dediler. Biz de kabul etmedik. 'Çürümüş parmağı içeriye nasıl katlayabilirsiniz?' dedik. Onlar da yapacak başka çarelerinin olmadığını söylediler. Biz de başka hastanelerden randevu aldık ve başka hastanelere gittik. Parmağın ampute edilmesi gerektiği söylendi. Parmağım ampute edildi. Büyük ihtimalle ikinci gittiğim hastane sebebiyle parmağımı kaybettim çünkü ameliyatlardan sonra herhangi röntgen ya da MR çekimi yapılmadı. Bunu doktora söylediğimiz halde doktor bizi dinlemedi. Bize 'iyiye gidiyor' dedi" ifadelerini kullandı.
"PAZARTESİ GÜNÜ BUNUN İÇİN DE OPERASYON GEÇİRECEĞİM"
İkinci hastanedeki ameliyatların ardından kolunda ağrılar hissettiğini söyleyen Güleryüz, sözlerini şöyle noktaladı:
"Doktorlara bileğime doğru ağrılarım olduğunu sürekli ifade etmeme rağmen beni dinlemediler. Sonradan kolumda metal kaldığını öğrendik. Bunun ihmal olduğunu düşünüyoruz. Çünkü kola metal nasıl girebilir? Ben 9 aydır çalışamıyorum. Kalp rahatsızlığım sebebiyle yüzde 46 engelliyken şu anda yüzde 75 engelli durumuna düştüm. Erken emeklilik dilekçesi verdim ancak henüz sonuç gelmedi. Bu konuda çok mağdurum. Yetkililerin bunu duymasını istiyorum. Savcılığa suç duyurusunda bulunduk. Yaklaşık 9 aydır henüz soruşturma izni gelmedi. Süreci bekliyoruz, henüz dava açılmış değil. Kolumda bırakılan metal ilerliyor. Pazartesi günü bunun için de operasyon geçireceğim. Çıkarılıp çıkarılamayacağı net değil. Elimde titremelerim var, çalışamıyorum ve işveren tarafından işten çıkarıldım. Yetkililerden destek ve konunun incelenmesini talep ediyorum."

5 gün önce
26










English (US) ·